Orthodontie Bègles Bordeaux

CABINET D'ORTHODONTIE À BÈGLES

Docteur Virginie Carrion

​Bienvenue dans le monde de l'Orthodontie

L'Orthodontie fonctionnelle ou esthétique

Vous ou votre enfant avez des dents en mauvaise position, des malpositions de mâchoires, voire un mauvais équilibre facial. Cela entraine des désordres fonctionnels ou esthétiques.

Un premier rendez-vous avec le Docteur Virginie Carrion, suivi d’une étude approfondie permettront de dégager un diagnostic et un plan de traitement.

Ce traitement pourra être réalisé à l’aide d’appareils fixes ou mobiles et avec, selon les besoins, avec la collaboration éventuelle de praticiens d’autres disciplines.

​Le traitement orthodontique pour

L'Enfant

Avant 12 ans, il n’est pas systématique d’appareiller les enfants.

Avant 6 ans, le traitement est surtout préventif.

Entre 6 et 12 ans, le traitement est interceptif.

L'Adolescent

Votre enfant sera considéré comme adolescent à partir du moment où l’ensemble de ses dents d’adultes sont en bouche (vers 12 ans). L’âge limite de 16 ans correspond à la moyenne de la fin de croissance des patients.

L'Adulte

Les innovations technologiques de ces dernières années ont rendu le traitement orthodontique accessible à tous, et particulièrement aux adultes.

La première consultation

Une première prise de contact

Le Docteur Carrion fera connaissance avec vous pour apprécier les raisons motivant votre venue au cabinet.

Dans le cas ou vous ou votre enfant avez besoin d’un traitement orthodontique : des radios, une empreinte numérique, et une étude seront nécessaires à l’établissement du plan de traitement.

Il sera abordé : Pourquoi traiter ? Quand traiter ? Par quels moyens traiter ? Durée de votre traitement ? Les coûts et les remboursements pour les moins de 16 ans.

Un bilan plus détaillé sera communiqué dans un second rendez-vous.

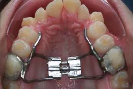
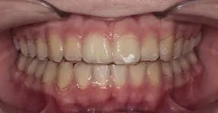
Les différents appareils

Une solution adaptée à votre besoin

  • Les Gouttières Fonctionnelles
  • Les Appareils Fixes
    • Le disjoncteur
    • Les appareils multi-attaches
  • Les Gouttières Invisibles
  • La contention
    • La gouttière de contention
    • Le fil collé (ou fil de contention)

Vous êtes patient du Dr Carrion

Disponible sur Android et IOS, Utilisez Dentapoche avec votre identifiant

Avec Dentapoche, toutes vos informations sécurisées dans votre poche !

  • Rappels et notification de rendez-vous
  • Contact direct, facile et rapide avec le cabinet
  • Téléchargement de vos documents (Photos, radios, Ordonnances, factures, fiches informatives sur votre traitement)
  • Questionnaires médicaux
  • Signature en ligne de vos documents
  • Information du cabinet
  • Gestion des rendez-vous de la famille
  • Paiement en ligne

Nos coordonnées

Ouverture :

  • Lundi : 12h30 à 19h00
  • Mardi : 12h30 à 19h00
  • Mercredi : 09h00 à 19h00
  • Vendredi :  09h00 à 19h00

Adresse : 4 Rue Pierre et Marie Curie, 33130 Bègles

eMail : Dr.Carrion.Contact@Gmail.com

Tel : 05 56 75 12 60  (lundi+mardi : 13h à 16h ; mercredi+vendredi : 9h-11h30)

 

Et pour tous nos patients : Utilisez l'application Dentapoche avec vos identifiants pour communiquer avec nous de manière sécurisée.

Dr Carrion Virginie

Bienvenue dans le monde l'orthodontie

Docteur CARRION

(c) 2024 site créé par le Cabinet d'Orthodontie du Docteur Carrion